大人(成人)の矯正、セラミック矯正
九段北歯科では、矯正は目立たなく短期的で、限定的なおかつ咬み合わせのトラブル(顎関節など)が無い様な治療と考えております。したがって、一般矯正(全体矯正)の様に、数本の歯を抜歯(通常上下4本)して全体の歯を数年かけて動かす治療は、インプラントと同様高レベルの検査、術後対応の必要性があると判断し、大学病院などの紹介が妥当と考えております。その結果として大人(成人)の場合には部分歯科矯正をなるべく短期間で行いそののちセラミック歯科治療を施すのが最善と考えております。
短期矯正
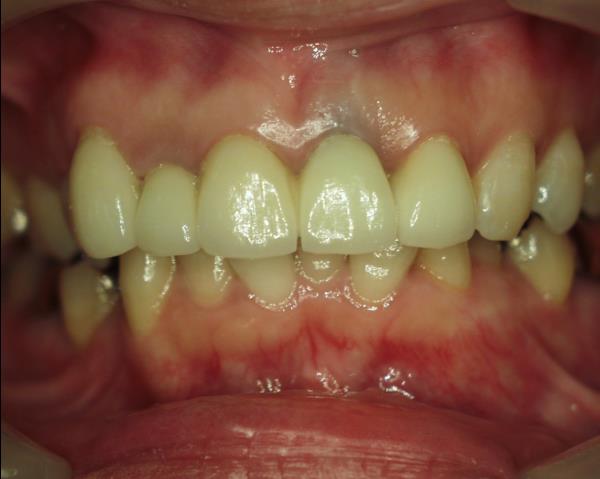
症例1
普通歯並びの治療は矯正治療で2~3年、部分矯正でも3~4ヶ月かかります。
これに対しセラミックベニアで歯並びを直す治療は前歯6本を約1カ月で終わらせることができます。
そして歯面の1/4面での最小限の処置(ミニマルインターベーション)で行う方法です。
治療費用 約¥600,000
これに対しセラミックベニアで歯並びを直す治療は前歯6本を約1カ月で終わらせることができます。
そして歯面の1/4面での最小限の処置(ミニマルインターベーション)で行う方法です。
治療費用 約¥600,000




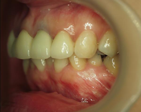
治療中
2本ずつ形を確認しながら直していきます。
そのため他人にも気づかれません。


治療後
最終的に6本入りました。
笑ったときの歯並びもきれいになりました。





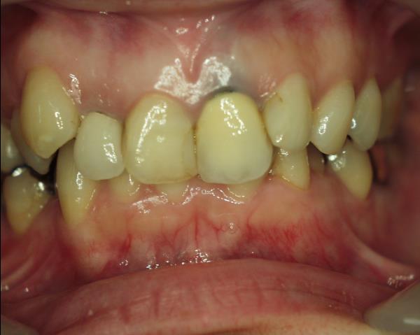
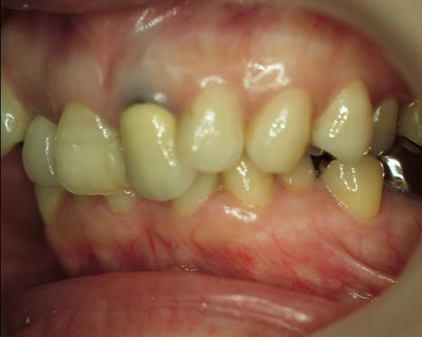
症例2
基本的には抜歯はしませんが、
どうしてもスペースが足りないときは、抜いた方が早く綺麗に仕上がります。
治療費用 約¥390,000
ご希望により~¥520,000
どうしてもスペースが足りないときは、抜いた方が早く綺麗に仕上がります。
治療費用 約¥390,000
ご希望により~¥520,000
治療前
術前、よく見るパターンです。着色や歯石が付きやすいです。


治療中
これ位でしたら1~2ヶ月で部分矯正は出来ます

治療後
術後、セラミックを被せることで綺麗に仕上がります。
歯と歯の間の空隙や上の前歯との噛み合わせも改善されました。


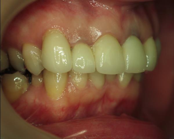
部分矯正
治療費用 約¥650,000
治療前
上の前歯でよく見られるケースです。古い被せ歯とともに歯肉の炎症や変色が起きやすいです。
口唇が歯に引っ掛かり閉じ辛いです。




治療中
これ位のケースは3~4ヶ月で部分矯正は出来ます。

治療後
セラミックを被せることで歯肉の炎症や変色が減りました。
口唇も引っ掛かりが無くなり綺麗なスマイルラインも出せる様になりました。




審美矯正
審美矯正治療の流れ
矯正治療は通常、装置(ブラケット)を2~3年かけて歯を動かしさらに歯の固定(保定)にそれと同じ年数以上(3~5年)の時間を要します。
成人矯正においては子供などより動かした歯が元に戻りやすいので保定装置を一生使い続けるケースがほとんどです。
しかし現実問題として成人、特に社会人にはいろいろな制約があるためそれは非常に難しいことです。
成人矯正に対し当院では裏側からの矯正、透明な装置による方法などを行いできるだけ短期間の治療ですむよう心掛けております。
審美矯正治療に関しての治療費用 約¥520,000
成人矯正においては子供などより動かした歯が元に戻りやすいので保定装置を一生使い続けるケースがほとんどです。
しかし現実問題として成人、特に社会人にはいろいろな制約があるためそれは非常に難しいことです。
成人矯正に対し当院では裏側からの矯正、透明な装置による方法などを行いできるだけ短期間の治療ですむよう心掛けております。
審美矯正治療に関しての治療費用 約¥520,000
治療前
前歯と前歯の間が大きく空いている。



舌側矯正開始
目立たないように裏側から矯正治療を開始


矯正治療終了
1ヶ月半で矯正治療を終了



仮歯調整
歯のバランスを整えるため仮歯で調整する



シェーディング(色合せ)
セラミックの色,形態を要望に合わせて決めていく



治療後
3ヶ月で治療終了、セラミックの完成



目立たない矯正

エステティックワイヤー
白色セラミック製のブラケット(矯正装置)と、白色樹脂でコーティングされた形状記憶合金のワイヤーを組み合わせて使用することで、治療中であることがほとんどわかりません。エステティックゴム
矯正治療では、歯の位置の調整にゴム(エラスティック)を使用することがあり、通常目立たないタイプを準備しています。
逆に最近の矯正ブームで矯正ライフを楽しむ意味でカラフルで目立つ色をご希望の方もいらっしゃいます。
ブログで紹介しているケースもこれに当てはまります
前歯の矯正でハッピー
逆に最近の矯正ブームで矯正ライフを楽しむ意味でカラフルで目立つ色をご希望の方もいらっしゃいます。
ブログで紹介しているケースもこれに当てはまります
前歯の矯正でハッピー

エステティックゴム
治療前

エステティックゴム
治療後
術後



エステティックリテイナー
矯正終了後
エステティックリテイナー
透明なマウスピース型の保持装置(リテイナー)です。目立ちにくく、違和感が少ない装置で、ご自身で取り外しができます。
装着した状態


オープンバイトの治療
オープンバイトとは前歯が開いた状態のことで通常の矯正治療では数年治療期間がかかります。
治療内容
治療前




治療中
部分矯正と・・・



仮歯
咬合治療と・・・



治療後
セラミック治療を行うことで通常6ヶ月~1年位で仕上がります。




顎の矯正
骨格的にうけ口、バードフェイス(小顎症)、顔の歪みの方は、通常の歯列矯正での治療が不可能だとあきらめているケースがほとんどです。
九段北歯科はその様な悩みをもった方に、顎の矯正によって顔ぼうを改善する治療を行っております。
かみ合わせを考慮した多種多様な手技・テクニックを総合して施し、本格的で大掛かりな美容整形とは違った極めて自然で侵襲の少ない方法での仕上がりが得られます。
人知れずお悩みの方からのご相談をたくさん承っておりますのでどうぞお気軽にご相談ください。
九段北歯科はその様な悩みをもった方に、顎の矯正によって顔ぼうを改善する治療を行っております。
かみ合わせを考慮した多種多様な手技・テクニックを総合して施し、本格的で大掛かりな美容整形とは違った極めて自然で侵襲の少ない方法での仕上がりが得られます。
人知れずお悩みの方からのご相談をたくさん承っておりますのでどうぞお気軽にご相談ください。
CASE1
治療前
下顎がかなり骨格的に前突して、前歯がかなり開口しています。
又、表情筋もかなり緊張が見られます。
プレート治療や目立たないワイヤーなどで歯牙や顎の位置を3次元的に治していきます。







治療後
顔ぼうもかなり改善され(影に注目)、表情もフェイスストレッチを行い、かなり柔らかくなりました。


CASE2
治療前
骨格的に受け口で、姿勢もねこ背で、前突気味です。
表情筋も男性なので、よけい硬く感じられます。




治療後
プレート治療、部分矯正などで、かなり口元が改善され、アゴも引けて、表情もフェイスストレッチを取り入れ、だいぶ良くなりました。



CASE3
顎の位置が後方(奥の方)にずれていたため、バードフェイス気味に見えましたが、下顎の位置を前方に修正することにより、顔貌が改善されました。
下あごの「うめぼし」も取れてスマイルラインもキレイに出る様になりました。
下あごの「うめぼし」も取れてスマイルラインもキレイに出る様になりました。


CASE4
顎の位置を、本来の正常で自然な状態に戻しますので、スマイルラインや横顔も美しく変化します。
その他に頭痛、目の疲れ、肩こり、腰痛にも効果が現れます。
当院は、矯正をご希望の方も、まず大切な噛み合わせからチェックをし、より健康的で美しい口元になるように、カウンセリングをいたしております。(症例写真は、プライバシー保護の関係でホームページ上では一部のみの掲載になりますが、カウンセリングの際には更に詳しくご説明いたします。
顎の位置を奥に治した事により鼻から唇にかけてのラインがきれいになりました。
その他に頭痛、目の疲れ、肩こり、腰痛にも効果が現れます。
当院は、矯正をご希望の方も、まず大切な噛み合わせからチェックをし、より健康的で美しい口元になるように、カウンセリングをいたしております。(症例写真は、プライバシー保護の関係でホームページ上では一部のみの掲載になりますが、カウンセリングの際には更に詳しくご説明いたします。
顎の位置を奥に治した事により鼻から唇にかけてのラインがきれいになりました。


CASE5
顎の位置を正中に治した事によりスマイルラインがきれいになりました。
Before


After

