咬み合わせ治療とは
九段北歯科では経年的な咬み合わせのズレによる顔の歪み、歯並び平面の歪みを全体治療により修正回復します。
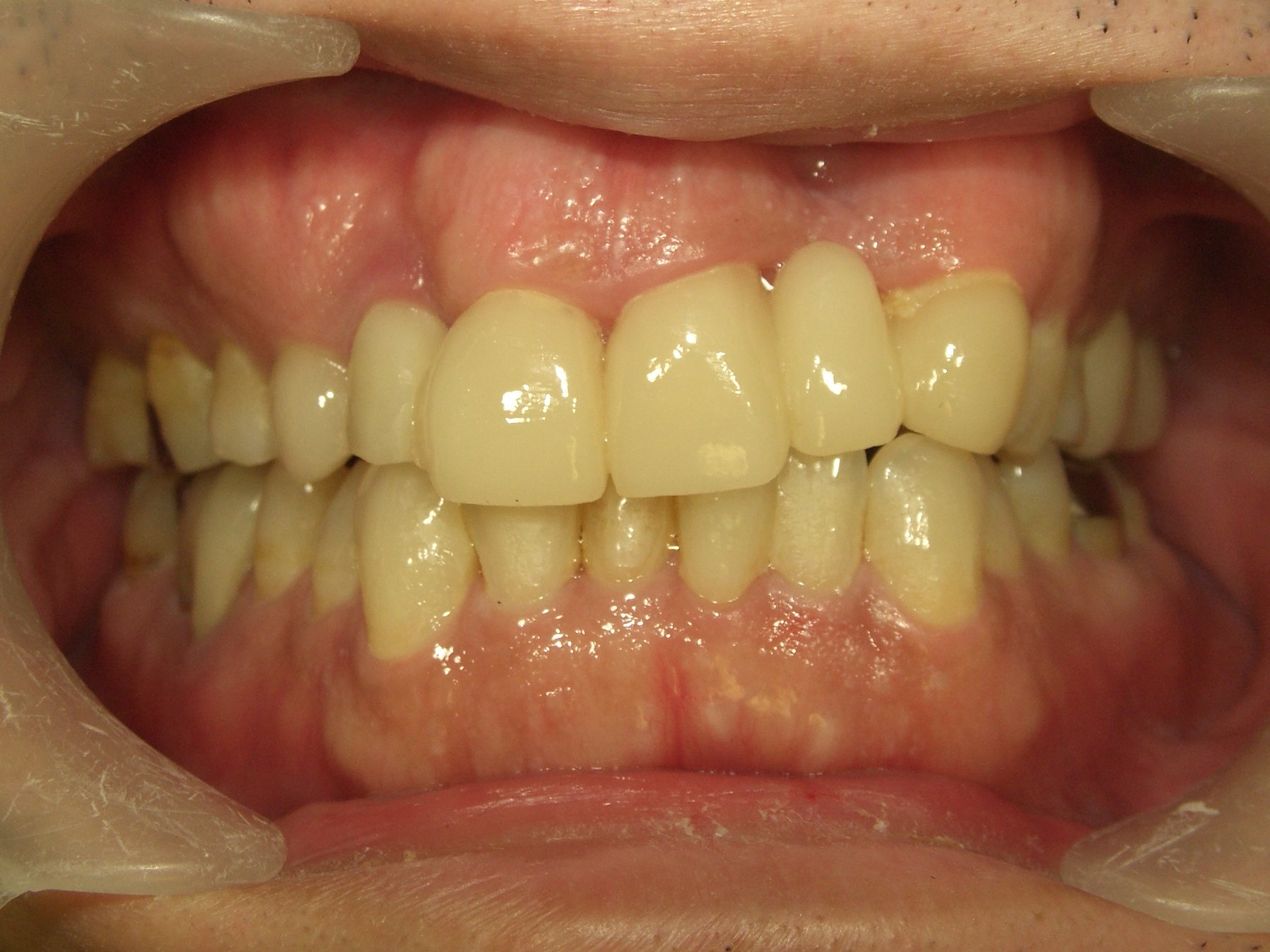
歯が欠ける・磨り減ってきた・歯ぎしりがひどい時は大きなトラブルの予兆です。
例えば
歯が折れる
歯の神経が壊死する
顎関節症になる
など後悔する前にチェックしましょう
歯が欠ける・磨り減ってきた・歯ぎしりがひどい時は大きなトラブルの予兆です。
例えば
歯が折れる
歯の神経が壊死する
顎関節症になる
など後悔する前にチェックしましょう

経年で少しずつ咬み合わせにズレが生じてくると、
歯が折れる、歯の神経が壊死するなどの症状に発展し、顎関節症なども引き起こします。
『九段北歯科』は歯列矯正と同様に、咬み合わせの治療も大切にし、咬合矯正はまず顎位を矯正することを第一に考えます。
顎や顔周りの筋肉のバランスと歯列がうまく合わないと咬み合わせのズレが起こり、それが歯列の乱れにつながりますので、顎位を矯正してから咬合矯正をします。歯が欠けたり、歯ぎしりがひどくなったりするのは咬み合わせのトラブルのサインですので、早めの受診をおすすめします。
咬み合わせは口腔内だけに限らず、全身の不調との関連性も高いのですが、まだ国のガイドラインも整備されていません。歯の治療だけに留まらず、領域を広げて患者さん口内の健康を守っていくことで、地域レベルで医療貢献していくことが今後の展望です。当院では咬み合わせに影響しやすい、くいしばりの予防にも対応し、マウスピースを用いたプレート治療、理学療法的なフェイスストレッチも可能ですよ。
歯が折れる、歯の神経が壊死するなどの症状に発展し、顎関節症なども引き起こします。
『九段北歯科』は歯列矯正と同様に、咬み合わせの治療も大切にし、咬合矯正はまず顎位を矯正することを第一に考えます。
顎や顔周りの筋肉のバランスと歯列がうまく合わないと咬み合わせのズレが起こり、それが歯列の乱れにつながりますので、顎位を矯正してから咬合矯正をします。歯が欠けたり、歯ぎしりがひどくなったりするのは咬み合わせのトラブルのサインですので、早めの受診をおすすめします。
咬み合わせは口腔内だけに限らず、全身の不調との関連性も高いのですが、まだ国のガイドラインも整備されていません。歯の治療だけに留まらず、領域を広げて患者さん口内の健康を守っていくことで、地域レベルで医療貢献していくことが今後の展望です。当院では咬み合わせに影響しやすい、くいしばりの予防にも対応し、マウスピースを用いたプレート治療、理学療法的なフェイスストレッチも可能ですよ。
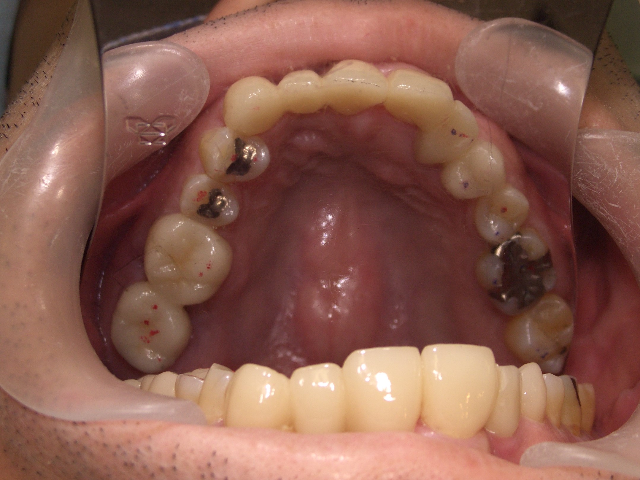
かみ合わせの動画
歯が左右とも残っている人です。くいしばりで全体的に沈み込み奥歯は内側や前方に倒れ込もうとします。
前歯も開いてきます。
奥歯が片方無いケースです。前歯も奥歯も開きやすいし倒れやすいです。
歯の無いところは上の歯が延びたり歯ぐきに当たります。
くいしばり予防
九段北歯科ではくいしばりの予防法としてプレート治療( ナイトガード治療)をしています。必要な方には理学療法的なフェイスストレッチも行っております。
ナイトガード(マウスピース)は歯の保護にもなり日常的に使用される患者さんも増加しています。
九段北歯科ブログ
【マウスピース】6月26日 日経新聞
ナイトガード(マウスピース)は歯の保護にもなり日常的に使用される患者さんも増加しています。
九段北歯科ブログ
【マウスピース】6月26日 日経新聞
オーラルリハビリテーション
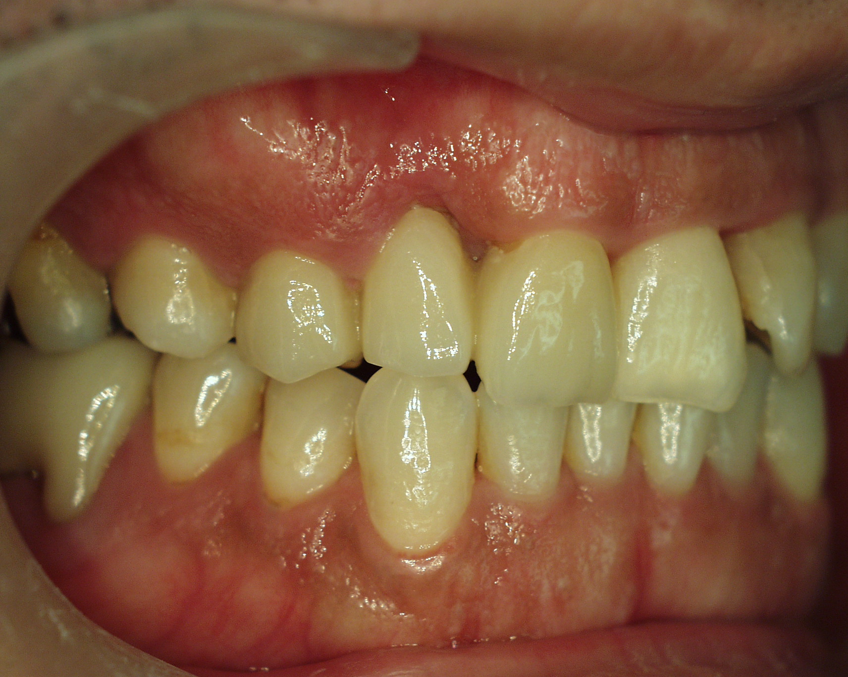
症例①
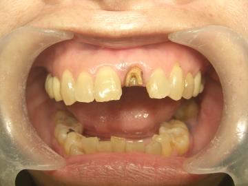
一番目立つ前歯が折れてしまったケース
患者さんのショックも大きなものです
お口の中全体を考えた治療の流れをご覧ください
患者さんのショックも大きなものです
お口の中全体を考えた治療の流れをご覧ください

オーラルリハビリテーション
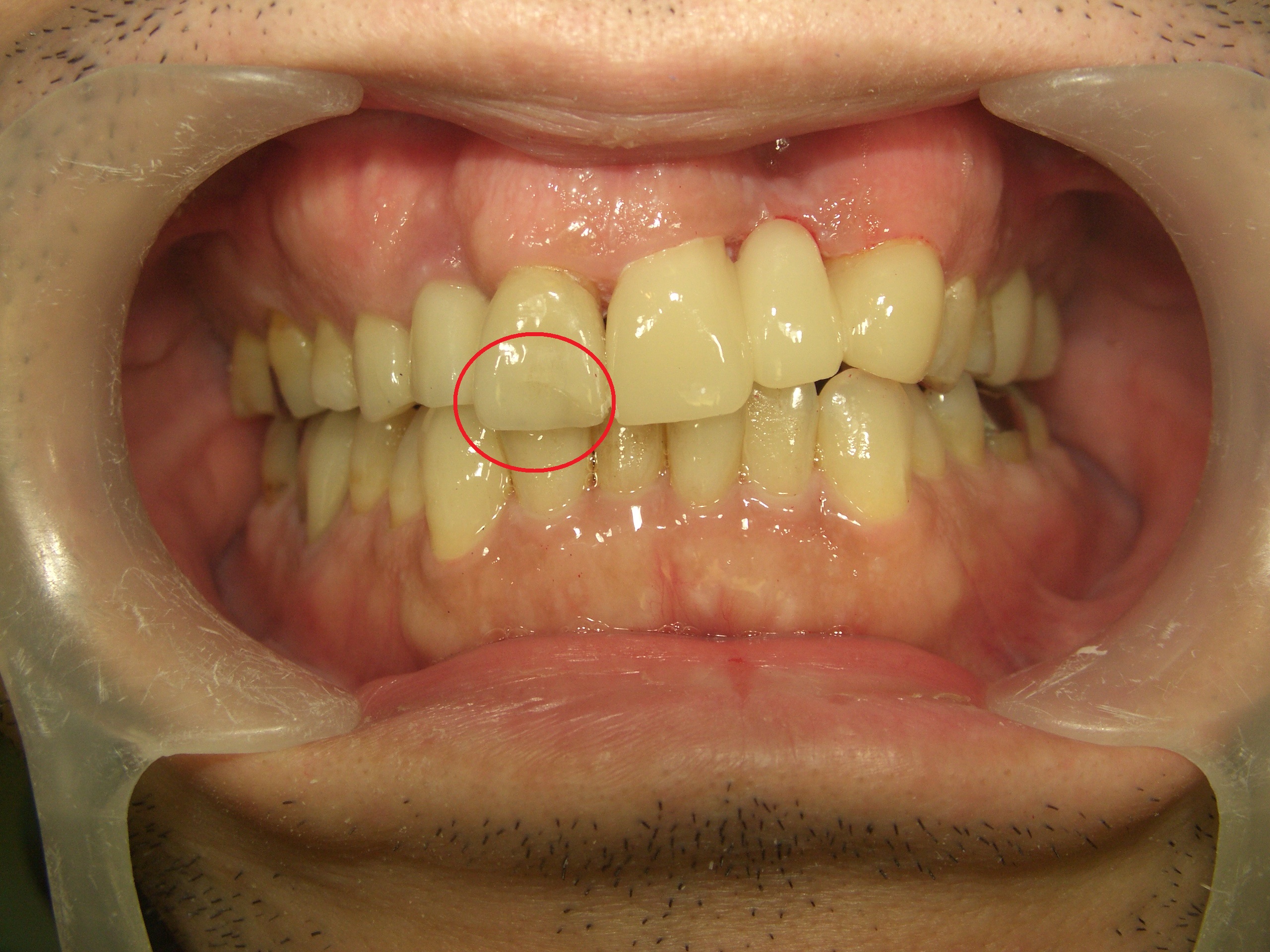
上の前歯の差し歯が前方に押され出っ張っています
(実は→折れています)
(実は→折れています)

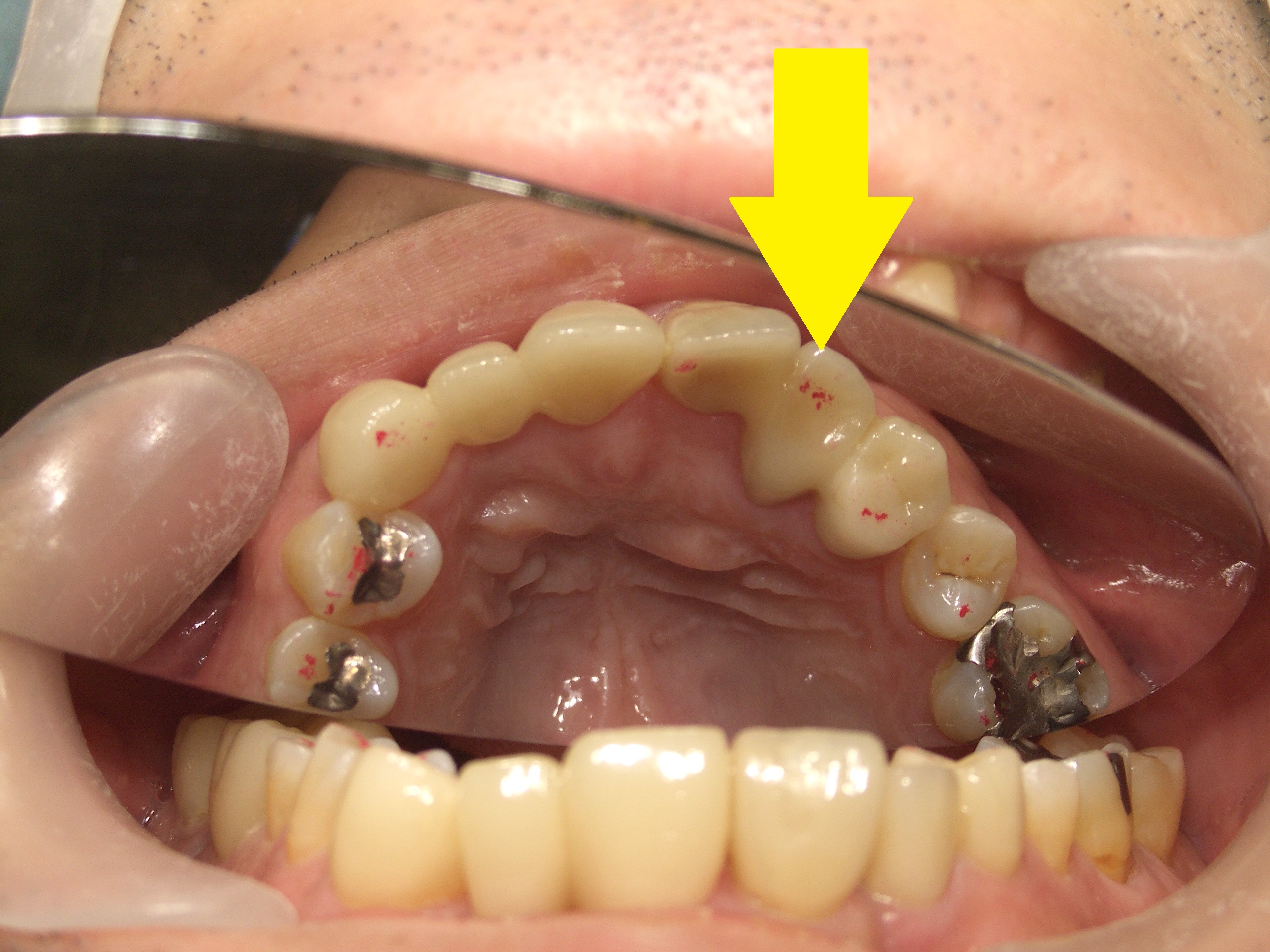
オーラルリハビリテーション
原因は全体的に歯が強く当たっていることです。特に向かって右奥2本が欠けている影響で他の歯に強く当たります

オーラルリハビリテーション
上の歯にもマークされます

オーラルリハビリテーション
治療の原則としてまず奥歯を治療してかみ合わせを整えることから始めます

オーラルリハビリテーション
土台からのやり直しです

オーラルリハビリテーション
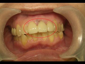
仮歯にして前歯の当たりを軽くします ○印の所です

オーラルリハビリテーション
前歯の前方向へのガイドも軽くします

オーラルリハビリテーション
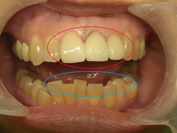
前歯を3歯連結して強度を高めます

オーラルリハビリテーション
ガイドもしっかり当たり硬い物も咬み切れるようになりました

オーラルリハビリテーション
下の前歯の特殊な歯並びにも耐えられます

オーラルリハビリテーション
向かって左の奥歯もしっかり治しています。大事なことは奥歯によるかみ合わせの高さの維持です
症例②
食べ物がよくひっかるし、歯磨きしづらいためよく出血する。
歯の当たり方も違和感があるのでずっと治したいと思っていたケースです。
かみ合わせを重視し進めていきます
歯の当たり方も違和感があるのでずっと治したいと思っていたケースです。
かみ合わせを重視し進めていきます

オーラルリハビリテーション
5年前向って左前歯の歯並びを治したいとのご要望でした

オーラルリハビリテーション
裏にもう1本歯が重なり物が詰まるし出血もあります

オーラルリハビリテーション
表の歯を抜去し、部分矯正で裏の歯を引っ張ります。長年隠れていた部分なので歯石も付いています

オーラルリハビリテーション
矯正が終わり3本セラミック連結します

オーラルリハビリテーション
向って左側の前歯はきれいに治りました

オーラルリハビリテーション
裏側の様子です。かみ合わせの当たりも食いしばりが強いので弱めに調整しています

オーラルリハビリテーション
5年後、前歯にクラック(ひび)が入ってきました

オーラルリハビリテーション
かみ合わせの確認をしたところ、向って右側に強く当たる場所があります。これは矯正による後戻りです

オーラルリハビリテーション
すぐに割れたセラミックを差し替えます。今回のケースは無料でアフターケアしています(要相談※レベル、年数によりますがご相談ください)

オーラルリハビリテーション
左右前歯とも治療し前歯全体のかみ合わせを整えます

オーラルリハビリテーション
食いしばり、かみ合わせが強いことを考慮して前歯の当たりを軽めにしています(ケースによります)
治療後の患者さんの感想です
最初の治療から5年も経っていたとは驚きましたが、
これでまた安心して食事もできます。
丁寧に直してもらい今後もメンテナンスに通いますのでよろしくお願いします
症例③
全体に上下顎とも歯並びが悪く、前歯や向かって左の奥歯は、咬み合っていない部分がありました。
それを部分矯正を行い、その後セラミックで仕上げて咬み合わせの平面を上下とも整えました。
それを部分矯正を行い、その後セラミックで仕上げて咬み合わせの平面を上下とも整えました。
治療前

オーラルリハビリテーション
向って左側方面は下の犬歯も傾き倒れ歯並びも悪いです

オーラルリハビリテーション
正面から見て咬合平面は傾き正中(中心)もズレています

オーラルリハビリテーション
向って右側方面は上下の歯のかみ合わせの高さが低いのです。その為左顎関節部の具合も良くありません

オーラルリハビリテーション
矯正開始です。まず前歯を中心にある一定のレベルまで歯並びを揃えます(レベリング)

オーラルリハビリテーション
歯並び治療の前処置が整いました(レベリング終了)
術後

オーラルリハビリテーション
向かって左側方面観です。犬歯や前歯もキチンと咬んでます

オーラルリハビリテーション
セラミック治療終了時の正面観です。咬合平面も治りました。正中(中心)も合っています

オーラルリハビリテーション
向かって右側方面観です。上下の奥歯の高さを回復させ顎関節の具合も良くなりました
治療後の患者さんの感想です
顎の調子が良くなって口全体で食べることができるようになりました!
症例④
上下顎の咬み合わせの平面が向かって右上がりに傾いていました。
傾いている右側の上下奥歯を高くして、咬み合わせの平面を整え、前歯、奥歯ともセラミックで仕上げました。
傾いている右側の上下奥歯を高くして、咬み合わせの平面を整え、前歯、奥歯ともセラミックで仕上げました。
治療前

オーラルリハビリテーション
向って左側、上の奥歯が歯ぎしり、食いしばりなどで磨り減って低く短くなっています

オーラルリハビリテーション
正面から見ると正中(中心)は向って右にずれ、その分咬合平面も傾いています

オーラルリハビリテーション
向って右側の奥歯が上下とも短く、その分顎が右にずれています
術後

オーラルリハビリテーション
向って左側、上の奥歯の高さはセラミックで回復させました

オーラルリハビリテーション
正面から見て正中はほぼ揃いました。上の前歯6本をセラミックで揃え咬合平面も傾きがなくなりました。
(これ以上に正中を合わせるにはフェイスストレッチ等の筋機能訓練が必要となります)
(これ以上に正中を合わせるにはフェイスストレッチ等の筋機能訓練が必要となります)

オーラルリハビリテーション
向って右側の上下の奥歯ともセラミックで高さを上げて顎の位置を回転させます。その結果、④の正中の位置に改善されます
治療後の患者さんの感想と私とのやりとりです
患者さま
顎の感じが全く今までと違い、安定してしっかり食べられるようになりました。
気分的に顔つきもしっかりした感じになり家族からも好評です!(笑)
ただ、欲を言えばもっと完全に中心を合わせられませんか?
正中が合わない原因が顎の緊張からくるかみ合わせ異常や食いしばり、歯ぎしりだとすれば美容外科のボトックスなどを使用して緊張をゆるめたりという方法でできますか?
小宮
ボトックスは医療美容業界で注目の薬剤ですね。ボツリヌス菌を利用して細胞の緊張を抑える効果を利用しますが、歯科では現在も一般的には治療に使用することはありません。
九段北歯科では美容外科的な方法はあえて取らず筋機能訓練などの理学療法を推奨しています。
治療後の患者さんの感想です
奥歯で硬い物もしっかり咬むことができるようになって、パスタやお蕎麦も前歯で咬み切れるようになり快適です